Рентгеновские снимки, которые расскажут лучше, чем учебник по анатомии
Тело человека напоминает совершенный механизм. В то время, когда вы работаете, спите, занимаетесь спортом, ваше сердце качает кровь, а мозг трудится без отдыха.
Мы бы не смогли посмотреть на эти процессы без изобретения Вильгельма Рентгена: 120 лет назад ученый открыл лучи, которые позволяют буквально видеть людей насквозь. Зато сегодня вы узнаете, какие секреты скрывает ваше тело. Мы рассмотрели сотни сканов МРТ, рентгеновских снимков и нашел самые захватывающие. Спорим, вы никогда не видели исполнения оперной партии в томографическом аппарате?
1. Мозг пациента в коме и мозг здорового человека

2. Панорамный снимок челюсти. Мужчина забыл снять очки

3. Ребенок проглотил подвеску в виде Губки Боба

4. Трактография (специальный метод МРТ) показывает нервные волокна, соединяющие разные зоны мозга5. Аппарат искусственного сердца AbioCor6. Женщина с младенцем в аппарате МРТ

5. Женщина сделала яркий макияж перед процедурой КТ. Аппарат отсканировал накрашенные ресницы

6. Рентгеновский снимок пациентки, которая прошла процедуру подтяжки золотыми нитями
7. КТ брюшной полости курьера, который попался на перевозке запрещенных веществ

8. Снимок лодыжки, который сделан с помощью цветного спектрального сканера

9. Рентгеновский снимок пациента весом 186 кг

10. Оперный певец Михаэль Фолле исполняет партию из оперы Рихарда Вагнера «Тангейзер»

11. Пациент с алкогольным поражением мозга. Из-за воздействия спиртных напитков головной мозг и мозжечок уменьшились в размерах

12. Аорта — самая крупная артерия нашего тела
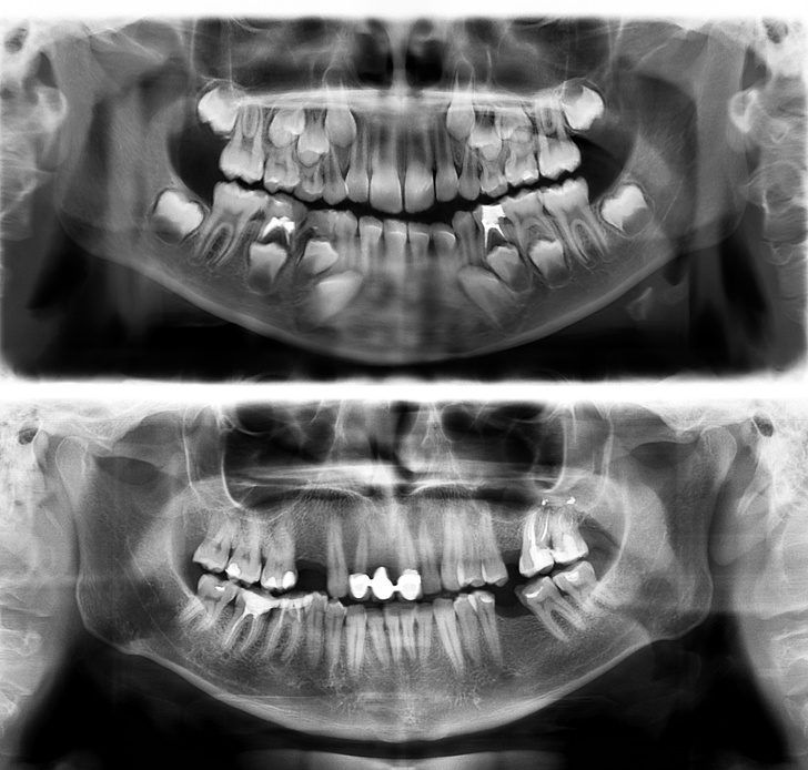
13. Так выглядят зубы человека в 7 (вверху) и в 30 лет

Бонус: иногда рентгенологи устают рассматривать снимки и решают пошутить

Пациент-косплеер застрял в шлеме штурмовика. На самом деле нет.

Так выглядит миниатюрный ядерный реактор Тони Старка на рентгеновском снимке.
Мы бы не смогли посмотреть на эти процессы без изобретения Вильгельма Рентгена: 120 лет назад ученый открыл лучи, которые позволяют буквально видеть людей насквозь. Зато сегодня вы узнаете, какие секреты скрывает ваше тело. Мы рассмотрели сотни сканов МРТ, рентгеновских снимков и нашел самые захватывающие. Спорим, вы никогда не видели исполнения оперной партии в томографическом аппарате?
1. Мозг пациента в коме и мозг здорового человека

2. Панорамный снимок челюсти. Мужчина забыл снять очки

3. Ребенок проглотил подвеску в виде Губки Боба

4. Трактография (специальный метод МРТ) показывает нервные волокна, соединяющие разные зоны мозга5. Аппарат искусственного сердца AbioCor6. Женщина с младенцем в аппарате МРТ

5. Женщина сделала яркий макияж перед процедурой КТ. Аппарат отсканировал накрашенные ресницы

6. Рентгеновский снимок пациентки, которая прошла процедуру подтяжки золотыми нитями

7. КТ брюшной полости курьера, который попался на перевозке запрещенных веществ

8. Снимок лодыжки, который сделан с помощью цветного спектрального сканера

9. Рентгеновский снимок пациента весом 186 кг

10. Оперный певец Михаэль Фолле исполняет партию из оперы Рихарда Вагнера «Тангейзер»

11. Пациент с алкогольным поражением мозга. Из-за воздействия спиртных напитков головной мозг и мозжечок уменьшились в размерах

12. Аорта — самая крупная артерия нашего тела

13. Так выглядят зубы человека в 7 (вверху) и в 30 лет

Бонус: иногда рентгенологи устают рассматривать снимки и решают пошутить

Пациент-косплеер застрял в шлеме штурмовика. На самом деле нет.

Так выглядит миниатюрный ядерный реактор Тони Старка на рентгеновском снимке.
Только зарегистрированные и авторизованные пользователи могут оставлять комментарии.
-1
ну и зачем нам это надо?
- ↓
0
Почему, после снятия гипса, снимок не отдали, хотя бы ксерокопию?
- ↓
+1
Михаэль Фолле в самом начале слегка сфальшивил.
- ↓
+1
Ух как интересно…
- ↓

