Причины возникновения пяточной шпоры
Как правило, данная болезнь возникает внезапно и неожиданно. Потом пациент узнаёт, что она всем давно и хорошо известна и у неё есть ТЫСЯЧИ способов лечения. А через некоторое время до него доходит, что все эти способы, аж никак не работают, и всемогущая медицина умеет ЛЕЧИТЬ, но, не умеет ВЫЛЕЧИТЬ…

«Фасция» — тонкая оболочка соединительной ткани, покрывающая мышцы, кости или их системы в организме.
«Ит» — суффикс, обозначающий внезапно возникшее заболевание, воспаление.
Для лечения любой болезни, нужно понять причину её возникновения! Когда я столкнулся с данной проблемой, то понял, что однозначного мнения, по этому поводу, у медицины нет. Потому, попытаюсь доступно изложить свою версия причины, которая помогла мне от пяточной шпоры избавиться!

Итак, вот что мы имеем в результате: на пяточной кости внезапно образовался шип, который из себя представляет остеофит.
Остеофит — (от др.-греч. ὀστέον — кость, и φυτόν — растение) — патологический нарост костной ткани на поверхности обычной кости.
Именно этот нарост, прекрасно видимый на рентгене — давит на фасцию под пяточной костью, а именно на сухожилье (под названием — плантарный (подошвенный) апоневроз) и на другие ниже лежащие слои тканей. Такое давления раздражает участки тела, вызывает воспаление и боль, значительно усиливающуюся при долгой ходьбе.
Логичен вопрос в данной ситуации: «Почему вдруг вырос этот шип и именно в этом, а не в каком-то другом месте?»
Некоторые специалисты почему-то уверены, что это проблема обмена веществ, и пишут об этом даже в википедии: «Как правило это краевое разрастание кости, подвергающейся деформирующим нагрузкам, или вследствие нарушения обмена кальция в костной ткани. В основном остеофиты возникают на поверхностях костей стоп (в частности в виде пяточных шпор) и рук».
Но я подозреваю, что остеофиты не вырастают где попало и непойми с чего в любом месте кости. Это функциональные образования, которые компенсируют какие-то проблемы, связанные с другой патологией. К примеру, остеофиты вырастают на краях позвонков при остеохондрозе и протрузии межпозвонковых дисков для того, чтобы увеличить площадь опоры диска на поверхность позвонка и уменьшить вероятность разрушения диска давлением на него острых краёв окружающих позвонков. Именно такое давление может разрушить край диска и вызвать грыжу — вытекание пульпозного ядра из диска.
Вероятнее всего, по какой-то причине так и происходит. Пяточный апоневроз от излишних нагрузок натягивается, отстаёт от пяточной кости и организм строит новый участок кости, который помогает удержать отрывающееся или сильно натягивающееся сухожилье в соединении с костью.

Для начала, следует обратить внимание на то, что наш скелет очень подвижен, и его форму определяют мышцы. Если какие-то из них будут в большем тонусе, а другие в меньшем, то и скелет изменит форму. Это заметно, например, при сколиозе, или при перекосе таза. Часто человек думает, что держит своё тело ровно, а в зеркале видит наклоны и перекосы скелета.
В наших мышцах есть «белые» или быстрые волокна, и «красные» — медленные волокна. Белые волокна помогают, например, быстро поднять штангу — их клетки работают без кислорода. Красные волокна имеют в избытке миоглобин — примерно то же самое, что и гемоглобин, но содержащийся в мышцах. Он накапливает кислород и позволяет мышцам долго работать, например бежать марафонскую дистанцию. Для того чтобы человек мог просто стоять, и даже сидеть, а не падать со стула, множество красных волокон его мышц должны находиться в определённом тонусе и поддерживать скелет в равновесии. А, если персонажу удобнее сидеть как-то криво, то, очень вероятно, что в организме есть какие-то функциональные нарушения мышц, суставов, фасций или органов…
Вернёмся к нашей многострадальной пятке. Для того чтобы подошвенный апоневроз не растягивался сверх меры, свод стопы должен иметь определённую форму. Если у нас с детства не было плоскостопия, то свод стопы имеет пружинистый, так называемый «подъём стопы». Именно такую форму поддерживают своим активным тонусом некоторые мышцы. При этом пяточный апоневроз имеет стабильную длину.
Кроме мелких мышц между плюсневыми костями стопы, это две икроножные мышцы:
длинная малоберцовая мышца (m. peroneus longus)
задняя большеберцовая мышца (m.tibialis posterior).
Все эти мышцы держат свой тонус благодаря импульсам, которые передаются по нервам, выходящим из позвоночника и крестца.
Ситуация с крестцом более или менее стабильна, а вот с последними поясничными позвонками вероятны проблемы.
При поясничном остеохондрозе межпозвоночные диск становится тонким, и расстояние между позвонками уменьшается. Если диск расплющивается слишком сильно, то он может выходить за края позвонков. Такая ситуация называется протрузией. А если в это время сильно напрягать позвоночник, например, поднимая что-то тяжёлое, то края позвонков вообще могут раздавить край межпозвоночного диска, он лопнет, и из него вытечет пульпозное ядро, состоящее из густой слизи. Это уже — межпозвоночная грыжа или «грыжа Шморля».
В любом из этих случаев, либо края позвонков, либо выступающий край межпозвоночного диска, либо грыжа диска — нажимают на нервные корешки, выходящие из позвоночника, что ухудшает качество передаваемых по нерву электрических импульсов.
Если иннервация мышцы слабеет, то и её тонус тоже падает. И те мышцы, которые должны активно поддерживать свод стопы — перестают качественно выполнять свои функции.
В результате этого и происходит растяжение подошвенного апоневроза, вызывающего рост остеофита или пяточной шпоры.

Т.е., причина возникновения пяточной шпоры заключается в наличии остеохондроза, протрузии или грыжи межпозвоночных дисков, как правило, вокруг нижнего, 5-го поясничного позвонка.
Именно потому, никакими местными воздействиями на пятку невозможно излечить эту проблему.
Конечно, можно уменьшить воспаление разными препаратами, или используя ударно-волновую терапию — просто сломать этот остеофит, но проблема при этом останется.
Медицина, как всегда, предлагает нам устранение симптомов, а не лечение болезни.
Реально же, нужно лечить позвоночник, а не пятку. Да, у некоторых людей пяточная шпора проходит сама. Когда пятка болит так, что ходить невозможно, и чаще даже не хочется сидеть — тянет полежать, наш организм, как самовосстанавливающаяся система, вполне способен исправить проблемы позвоночника самостоятельно.
Но, если человек ведёт достаточно подвижный образ жизни, и лежать неделями ему не хочется, то есть несколько упражнений, которые за 1 – 2 месяца помогут избавиться от упомянутых проблем.
При этом, зона поясницы совершает волнообразные движения по горизонтали, а кожа колен не стирается карематом — основное трение происходит между двумя слоями кулька.
Упражнение 2. Делается в паре с упражнением 1. В той же позе, но с опущенными стопами, прогибаем туловище в районе поясницы вверх и вниз — с максимальной амплитудой. При этом, зона поясницы совершает волнообразные движения по вертикали.
Желательно делать пару этих упражнений от 100 раз за подход и от 5 подходов в день. Это занимает немного времени, но эффект превышает ожидания! Даже если после выраженной перегрузки поясницы появляется боль или неприятные ощущения — такое упражнение нормализует состояние.
Во время данного упражнения в межпозвоночные диски, находящиеся не под нагрузкой, закачивается жидкость, и они восстанавливают свою форму. Если не было сильных травм, нет смещения позвонков или их ротации, то с помощью регулярного наполнения жидкостью дисков, можно справиться даже с межпозвоночной грыжей. Диск зарастает и восстанавливает форму, а грыжа рассасывается.
Упражнение 3. Это любые упражнения на скручивания поясницы. Например, можно лечь на спину, согнуть ноги в коленях, и поочерёдно поворачивать колени то вправо, то влево — с максимальной амплитудой, оставляя корпус неподвижным. При скручивании поясницы, мышцы, стягивающие позвонки, растягиваются и расслабляются.
Я вылечил свою проблему за 1,5 месяца! …после года страданий и проверок множества процедур, воздействующих на пятку…

Понятия
«Плантарный» — подошвенный, относящийся к подошвенной поверхности стопы.«Фасция» — тонкая оболочка соединительной ткани, покрывающая мышцы, кости или их системы в организме.
«Ит» — суффикс, обозначающий внезапно возникшее заболевание, воспаление.
Для лечения любой болезни, нужно понять причину её возникновения! Когда я столкнулся с данной проблемой, то понял, что однозначного мнения, по этому поводу, у медицины нет. Потому, попытаюсь доступно изложить свою версия причины, которая помогла мне от пяточной шпоры избавиться!

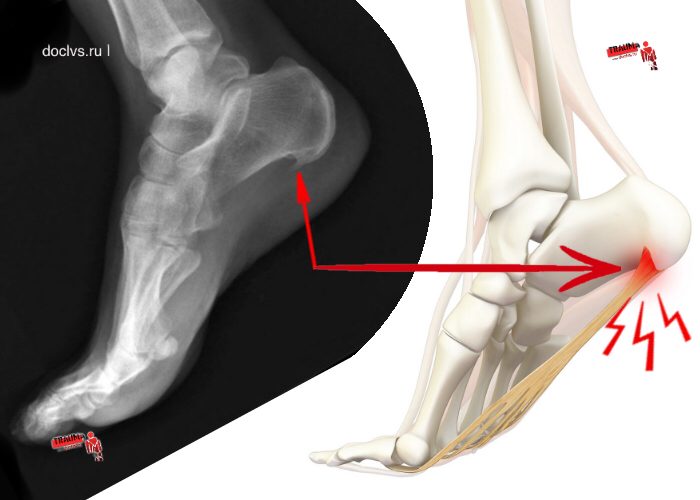
Итак, вот что мы имеем в результате: на пяточной кости внезапно образовался шип, который из себя представляет остеофит.
Остеофит — (от др.-греч. ὀστέον — кость, и φυτόν — растение) — патологический нарост костной ткани на поверхности обычной кости.
Именно этот нарост, прекрасно видимый на рентгене — давит на фасцию под пяточной костью, а именно на сухожилье (под названием — плантарный (подошвенный) апоневроз) и на другие ниже лежащие слои тканей. Такое давления раздражает участки тела, вызывает воспаление и боль, значительно усиливающуюся при долгой ходьбе.
Логичен вопрос в данной ситуации: «Почему вдруг вырос этот шип и именно в этом, а не в каком-то другом месте?»
Некоторые специалисты почему-то уверены, что это проблема обмена веществ, и пишут об этом даже в википедии: «Как правило это краевое разрастание кости, подвергающейся деформирующим нагрузкам, или вследствие нарушения обмена кальция в костной ткани. В основном остеофиты возникают на поверхностях костей стоп (в частности в виде пяточных шпор) и рук».
Но я подозреваю, что остеофиты не вырастают где попало и непойми с чего в любом месте кости. Это функциональные образования, которые компенсируют какие-то проблемы, связанные с другой патологией. К примеру, остеофиты вырастают на краях позвонков при остеохондрозе и протрузии межпозвонковых дисков для того, чтобы увеличить площадь опоры диска на поверхность позвонка и уменьшить вероятность разрушения диска давлением на него острых краёв окружающих позвонков. Именно такое давление может разрушить край диска и вызвать грыжу — вытекание пульпозного ядра из диска.
Что же заставляет наш организм выращивать остеофит на пяточной кости?
Обратите внимание как крепится подошвенный апоневроз к костям ступни. С одной стороны — к пяти пальцам, а с другой стороны — только к пяточной кости! Хоть он и охватывает пяточную кость со стороны крепления, всё же, относительно противоположной стороны крепления, является слабым местом данной конструкции. Т.е. если мы будем очень сильно растягивать это сухожилие, то скорее всего оно сначала будет отслаиваться от пяточной кости, а потом и вовсе может оторваться…Вероятнее всего, по какой-то причине так и происходит. Пяточный апоневроз от излишних нагрузок натягивается, отстаёт от пяточной кости и организм строит новый участок кости, который помогает удержать отрывающееся или сильно натягивающееся сухожилье в соединении с костью.
По какой же причине возникают перегрузки и растяжение подошвенного апоневроза?

Для начала, следует обратить внимание на то, что наш скелет очень подвижен, и его форму определяют мышцы. Если какие-то из них будут в большем тонусе, а другие в меньшем, то и скелет изменит форму. Это заметно, например, при сколиозе, или при перекосе таза. Часто человек думает, что держит своё тело ровно, а в зеркале видит наклоны и перекосы скелета.
В наших мышцах есть «белые» или быстрые волокна, и «красные» — медленные волокна. Белые волокна помогают, например, быстро поднять штангу — их клетки работают без кислорода. Красные волокна имеют в избытке миоглобин — примерно то же самое, что и гемоглобин, но содержащийся в мышцах. Он накапливает кислород и позволяет мышцам долго работать, например бежать марафонскую дистанцию. Для того чтобы человек мог просто стоять, и даже сидеть, а не падать со стула, множество красных волокон его мышц должны находиться в определённом тонусе и поддерживать скелет в равновесии. А, если персонажу удобнее сидеть как-то криво, то, очень вероятно, что в организме есть какие-то функциональные нарушения мышц, суставов, фасций или органов…
Вернёмся к нашей многострадальной пятке. Для того чтобы подошвенный апоневроз не растягивался сверх меры, свод стопы должен иметь определённую форму. Если у нас с детства не было плоскостопия, то свод стопы имеет пружинистый, так называемый «подъём стопы». Именно такую форму поддерживают своим активным тонусом некоторые мышцы. При этом пяточный апоневроз имеет стабильную длину.
Кроме мелких мышц между плюсневыми костями стопы, это две икроножные мышцы:
длинная малоберцовая мышца (m. peroneus longus)
задняя большеберцовая мышца (m.tibialis posterior).
Все эти мышцы держат свой тонус благодаря импульсам, которые передаются по нервам, выходящим из позвоночника и крестца.
Ситуация с крестцом более или менее стабильна, а вот с последними поясничными позвонками вероятны проблемы.
При поясничном остеохондрозе межпозвоночные диск становится тонким, и расстояние между позвонками уменьшается. Если диск расплющивается слишком сильно, то он может выходить за края позвонков. Такая ситуация называется протрузией. А если в это время сильно напрягать позвоночник, например, поднимая что-то тяжёлое, то края позвонков вообще могут раздавить край межпозвоночного диска, он лопнет, и из него вытечет пульпозное ядро, состоящее из густой слизи. Это уже — межпозвоночная грыжа или «грыжа Шморля».
В любом из этих случаев, либо края позвонков, либо выступающий край межпозвоночного диска, либо грыжа диска — нажимают на нервные корешки, выходящие из позвоночника, что ухудшает качество передаваемых по нерву электрических импульсов.
Если иннервация мышцы слабеет, то и её тонус тоже падает. И те мышцы, которые должны активно поддерживать свод стопы — перестают качественно выполнять свои функции.
В результате этого и происходит растяжение подошвенного апоневроза, вызывающего рост остеофита или пяточной шпоры.

Т.е., причина возникновения пяточной шпоры заключается в наличии остеохондроза, протрузии или грыжи межпозвоночных дисков, как правило, вокруг нижнего, 5-го поясничного позвонка.
Именно потому, никакими местными воздействиями на пятку невозможно излечить эту проблему.
Конечно, можно уменьшить воспаление разными препаратами, или используя ударно-волновую терапию — просто сломать этот остеофит, но проблема при этом останется.
Медицина, как всегда, предлагает нам устранение симптомов, а не лечение болезни.
Реально же, нужно лечить позвоночник, а не пятку. Да, у некоторых людей пяточная шпора проходит сама. Когда пятка болит так, что ходить невозможно, и чаще даже не хочется сидеть — тянет полежать, наш организм, как самовосстанавливающаяся система, вполне способен исправить проблемы позвоночника самостоятельно.
Но, если человек ведёт достаточно подвижный образ жизни, и лежать неделями ему не хочется, то есть несколько упражнений, которые за 1 – 2 месяца помогут избавиться от упомянутых проблем.
Как вылечить пяточную шпору без таблеток и уколов?
Упражнение 1. Для него лучше всего использовать каремат и обычный кулёк-маечку. Становимся коленями на каремат, под колени подкладываем кулёк. Прямыми руками упираемся в пол. Затем поднимаем ноги — от стопы до колен, и начинаем двигать ногами вправо и влево с максимальной амплитудой.При этом, зона поясницы совершает волнообразные движения по горизонтали, а кожа колен не стирается карематом — основное трение происходит между двумя слоями кулька.
Упражнение 2. Делается в паре с упражнением 1. В той же позе, но с опущенными стопами, прогибаем туловище в районе поясницы вверх и вниз — с максимальной амплитудой. При этом, зона поясницы совершает волнообразные движения по вертикали.
Желательно делать пару этих упражнений от 100 раз за подход и от 5 подходов в день. Это занимает немного времени, но эффект превышает ожидания! Даже если после выраженной перегрузки поясницы появляется боль или неприятные ощущения — такое упражнение нормализует состояние.
Во время данного упражнения в межпозвоночные диски, находящиеся не под нагрузкой, закачивается жидкость, и они восстанавливают свою форму. Если не было сильных травм, нет смещения позвонков или их ротации, то с помощью регулярного наполнения жидкостью дисков, можно справиться даже с межпозвоночной грыжей. Диск зарастает и восстанавливает форму, а грыжа рассасывается.
Упражнение 3. Это любые упражнения на скручивания поясницы. Например, можно лечь на спину, согнуть ноги в коленях, и поочерёдно поворачивать колени то вправо, то влево — с максимальной амплитудой, оставляя корпус неподвижным. При скручивании поясницы, мышцы, стягивающие позвонки, растягиваются и расслабляются.
Я вылечил свою проблему за 1,5 месяца! …после года страданий и проверок множества процедур, воздействующих на пятку…
Только зарегистрированные и авторизованные пользователи могут оставлять комментарии.
0
а я вылечила сырым картофелем, на ночь прикладывала срезом картошку, посыпанную солью, обматывала бинтом.через 3 ночи всё прошло
- ↓
0
было. но прошло. помог массаж желчью медицинской. есть в продаже в аптеках. больно было наступать. думала — отходилась- отбегалась. прошло полностью. делала массаж по 2 раза в день. раз по 50. всем рекомендую. и главное — побольше ходить. прогулки каждый день по 2 — 3 часа.
- ↓

