6 рецептов народной медицины от парадонтоза
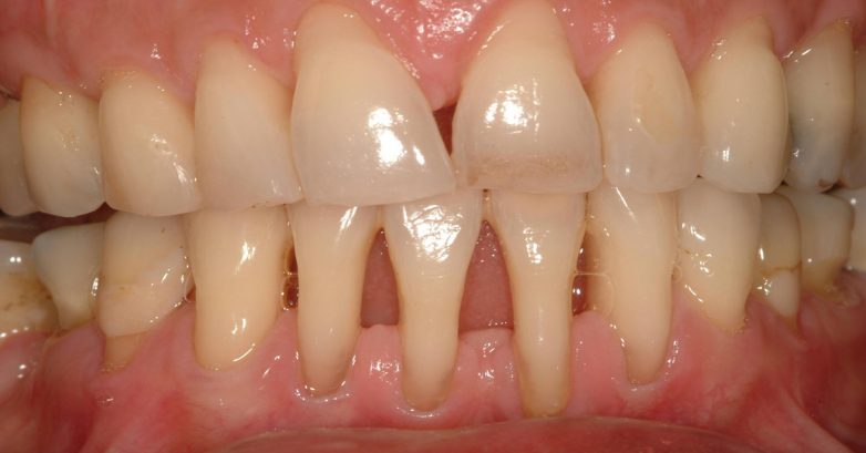
У многих людей есть проблемы с тем, что оголилась шейка или корень зуба. Это вызывает дискомфорт и сопровождается очень неприятными болезненными ощущениями и приводит к накоплению бактерий, которые разрушают зубы и вызывают воспаление десен.

Почему это происходит и что необходимо делать при оголении зубного корня?
Такая проблема может быть вызвана многими причинами, такими как болезнь десен, наследственность, курение и неправильная гигиена полости рта.
Узнайте, что является причиной вашей проблемы и вы сможете подобрать соответствующее лечение.
Оголение шейки и корня зуба — вызывает кариес и инфекции.
Эта инфекция может привести к разрушению зубов и мы предлагаем вам простые и натуральные рецепты, которые помогут вам быстро и эффективно справиться с такой проблемой.


Почему это происходит и что необходимо делать при оголении зубного корня?
Такая проблема может быть вызвана многими причинами, такими как болезнь десен, наследственность, курение и неправильная гигиена полости рта.
Узнайте, что является причиной вашей проблемы и вы сможете подобрать соответствующее лечение.
Оголение шейки и корня зуба — вызывает кариес и инфекции.
Эта инфекция может привести к разрушению зубов и мы предлагаем вам простые и натуральные рецепты, которые помогут вам быстро и эффективно справиться с такой проблемой.

1. Кунжутное масло
Кунжутное масло может бороться с накоплением бактерий, поэтому мы рекомендуем вам полоскать зубы кунжутным маслом. Возьмите 1 чайную ложку масла и полощите им зубы в течении 2-5 минут. Ваши десна станут крепкими.2. Зеленый чай
Если вы регулярно будете пить один стакан теплого зеленого чая, вы будете убивать бактерии, которые вызывают инфекции.3. Алоэ Вера
Все мы знаем о пользе алоэ вера. Если использовать гель алоэ в качестве полоскания рта или при чистке зубов, вы предотвратите дальнейшее распространение инфекции десен.4. Масло эвкалипта
Это масло обладает защитными свойствами, которые помогают устранить раздражение десен. Оно очень эффективно для уничтожения бактерий во рту, и вы можете использовать его в качестве жидкости для полоскания рта, а затем смыть его водой.5. Кокосовое масло
Применяйте масло непосредственно на десна и используйте его в виде пасты, добавив в него немного пищевой соды. Это поможет вашим деснам быть крепкими и устранит инфекции и бактерии.6. Тысячелистник
Он обладает вяжущими и антисептическими свойствами, которые действуют также для предотвращения повреждения десен. Полощите зубы отваром тысячелистника 1 раз в день и ваши десна будут здоровыми.
Только зарегистрированные и авторизованные пользователи могут оставлять комментарии.
0
Никто ещё не вылечил парадонтоз — подлечить можно…
- ↓
0
Про эвкалиптовое масло могу подтвердить!
- ↓
0
Если бы все было так просто, пополоскал маслом и все прошло.Поверит только наивный.
- ↓
0
Так не сразу. Нужно на протяжении долгого времени и регулярно.
Я, кстати, пью зеленый чай или черный без сахара — так десны не в пример в лучшем состоянии.
- ↑
- ↓
+4
Особенно интересно было узнать про кунжутное масло, алоэ вера, и тысячелистник! Спасибо!
- ↓

