Почему опухают лимфатические узлы
Рассмотрим одни из возможных причин.


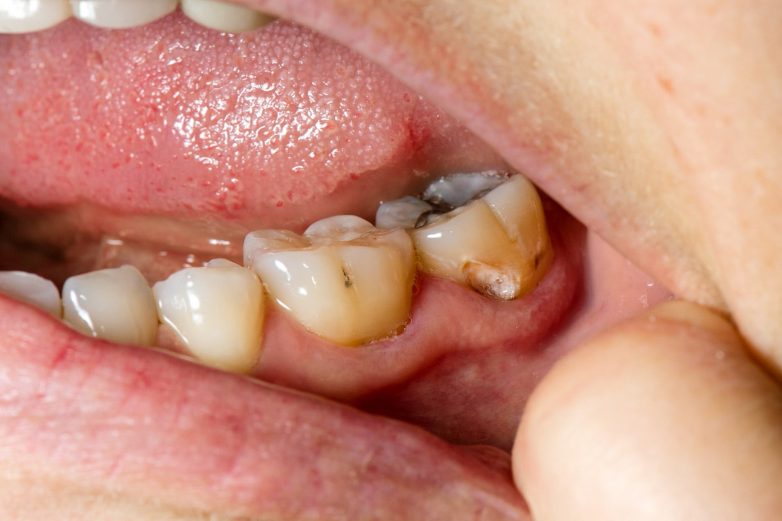
Кариес или травмы могут привести к инфицированию зуба. Это может вызвать опухоль лимфатических узлов под челюстью или на шее.
Одним из характерных признаков инфекции дыхательных путей — носа, носовых пазух, горла — являются большие болезненные лимфатические узлы на шее.

Основным симптомом является сыпь, которая вызывает нервную боль, но также могут быть увеличены лимфатические узлы.

Абсцесс зуба

Кариес или травмы могут привести к инфицированию зуба. Это может вызвать опухоль лимфатических узлов под челюстью или на шее.
Рак
Лимфома — это тип рака, который начинается в лимфатических узлах и вызывает отек. Другие типы рака могут распространяться на лимфатические узлы, когда клетки отделяются от опухоли и перемещаются по лимфатической системе в другие части вашего тела.Инфекция верхних дыхательных путей

Одним из характерных признаков инфекции дыхательных путей — носа, носовых пазух, горла — являются большие болезненные лимфатические узлы на шее.
Туберкулез
Золотуха, разновидность туберкулеза, представляет собой инфекцию лимфатических узлов шеи. Это заставляет их набухать и отвердевать. Обычно это безболезненно, но может сопровождаться лихорадкой, ознобом и общим плохим самочувствием.Опоясывающий лишай

Основным симптомом является сыпь, которая вызывает нервную боль, но также могут быть увеличены лимфатические узлы.
Только зарегистрированные и авторизованные пользователи могут оставлять комментарии.
+1
Господи! Спаси и сохрани!
- ↓
+1
отменяю все болезни!
- ↓
+1
спаси и сохрани…
- ↓

